Магниттік резонансты бейнелеу Ultra-Wide-Bore 3T
uMROmega
подробное описание и характеристики
Толық сандық кескіндеу тізбегі және біріктірілген жоғары тығыздықты катушкалар арқылы uMROmega сканерлеу жылдамдығын арттырып, кескін сапасын жақсарта алады.
Жоғары өнімді жабдық
-
Толық сандық кескіндер тізбегі
Толық цифрлық шығынсыз RF толқын модуляциясының технологиясы сигналдардың толық сандық эмиссиясына, берілуіне және қабылдануына қол жеткізу үшін қолданылады, сондықтан алынған кескін жоғары дәлдікке және төмен шуылға ие болады, нәтижесінде кескін сапасы жоғары болады.
-
Біріктірілген жоғары тығыздықты катушкалар
Біріктірілген бейнелеу технологиясы бір сканерлеуде дененің бірнеше бөліктерін бейнелеуге мүмкіндік беретін әрбір катушка элементінен сигналдарды бір уақытта түсіреді.
-
Интеллектуалды басқару желілері
Интеллектуалды және бөлінген жүйе архитектурасы тамаша жүйе тұрақтылығын қамтамасыз ете алады. Оптикалық талшықты жіберуге негізделген 16 арналы RF жүйесі кескіннің жоғары дәлдігі үшін төмен шу мен бұрмалануды қамтамасыз етеді.
-
Интеллектуалды ерте ескерту
Жүйенің тұрақтылығы мен сенімділігін жақсарту үшін нақты уақыттағы құрамдас бақылауды қамтамасыз етеді.
-
Ақылды ояту
Емтихандар арасындағы үзіліс кезінде жүйе қуатты үнемдеу үшін автоматты түрде күту режиміне өтеді. Қажет болса, ол 5 секундтан кейін жұмыс режиміне оралуы мүмкін.
Экономикалық жетістік
Жоғары өткізу қабілеті
Толық сандық РЖ жүйесі, біріктірілген жоғары тығыздықтағы катушкалар және бірегей параллель bFAST алу сияқты технологиялар uMR 580 сканерлеу тиімділігін айтарлықтай жақсартуға және емделуші өткізу қабілетін арттыруға мүмкіндік береді.
Жүйенің жоғары тұрақтылығы
Жүйенің сенімділігі мен тұрақтылығы 600 000 рет катушкалардың иілу сынағы, 120 000 рет коли интерфейсінің штепсельдік сынағы, 360 000 рет емтихан үстелінің қозғалу сынағы және толық жүктеме градиент жүйесінің сынағы арқылы толығымен расталады.
Гелийдің нөлдік булануы
Кең ауқымды клиникалық сынақтар магниттің гелийді буландырмайтынын көрсетті, бұл жұмыс уақытын айтарлықтай қысқартады.
Техникалық сипаттама
Консультация- Напряжение1.5 Тесла
- Ширина тоннеля60 см
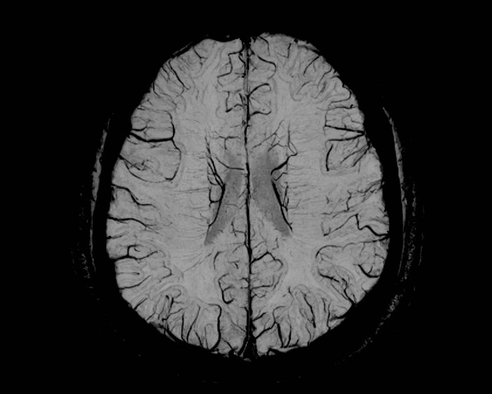
Клиникалық суреттер
Жүйе күйі нақты уақыт режимінде бақыланады және мұрағатталады. Пайдаланушыны қате және диагностика нәтижелері туралы хабардар ететін қателер журналы пайда болады.
Біз сізге қаржыландыру алуға және сізді оқытуға көмектесеміз
Бұл қалай болатынын біліңіз
Білім
Толығырақ біліңізӨнімдерімізді орнатқаннан кейін үш күн ішінде біз жабдықты жақсырақ басқару және медициналық жабдықтың барлық жасырын және жасырын функциялары туралы ақпарат алу үшін зертханашыларға қолданбалы тренингтер өткіземіз. Біз осы немесе басқа процедураны қалай дұрыс және тиімді орындау керектігін нақты көрсетеміз.
Қаржыландыру
Толығырақ біліңізБіз сіздің медициналық орталыққа қойылатын талаптарды ескере отырып, біз өз клиенттерімізге қаржы және тез өтелетін және жоғары пайда алу үшін медициналық құрылғыны тиімдірек таңдауға қатысты тегін кеңестер береміз.